Home >Products> Reagents >Cell Biology> Control Probes for Manual Assays: RNAscope 2.5 HD Duplex Reagent Kit
Reagents:  Molecular Biology   Biochemistry   Cell Biology   ELISA / Diagnostic Kits   Antibody   Serum/Medium   Other Reagents  
Control Probes for Manual Assays: RNAscope 2.5 HD Duplex Reagent Kit
Control Probes for Manual Assays: RNAscope 2.5 HD Duplex Reagent Kit
Place of Origin:
United States
Brand:
Bio-Techne Corporation
Model:
Bio-Techne Corporation
Price:
Hits:
856 
Updated:
10/16/2018
  • Product Detail
  • Company Profile
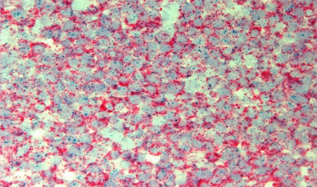
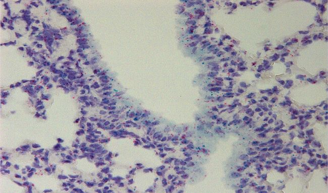
    Species-specific positive probes and negative control probes are required to run with human or mouse control slides for the technical quality control check and with your sample for Sample or RNA quality control check. ACD provides the positive control probes that target species-specific housekeeping genes and negative control probes that target the bacteria DapB gene.

    Careful selection of the right positive control is strongly recommended.  The expected expression level of your target RNA is the key criteria consider as your positive control probe should have similar expression profile.  See the overview page for details.

    Sample Images


     
    bio-equip.cn
    Bio-Techne Corporation (NASDAQ: TECH) is a leading developer and manufacturer of high quality purified proteins:notably cytokines and growth factors, antibodies, immunoassays, as well as biologically active small molecule compounds and ACD's in situ hybridization detection products,which are sold to biomedical researchers and clinical research laboratories; these operations constitute the core Biotechnology Division, headquartered in Minneapolis, Minnesota. The Protein Platforms Division manufactures innovative protein analysis tools under the ProteinSimple brand name that greatly automate western blotting and immunoassay practices. The Diagnostics Division manufactures FDA-regulated controls, calibrators, blood gas and clinical chemistry controls and other reagents for OEM customer and clinical customers. Bio-Techne products are integral components of scientific investigations into biological processes and the nature and progress of specific diseases. They aid in drug discovery efforts and provide the means for accurate clinical tests and diagnoses. With thousands of products in its portfolio, Bio-Techne generated approximately $563 million in net sales in fiscal 2017 and has approximately 1,800 employees worldwide. For more information on Bio-Techne and its brands, please visit www.bio-techne.com.
Request Information
Request Information: yes no
Request Quotation: yes no
refresh

I agree to share my inquiry with the other matching suppliers.

Request Information

* Name:
Job Title:
* Tel:
Fax:
* E-mail:
Postcode:
Institution/Company:
Address:
* Country:
Request Information:
yes no
Request Quotation:
yes no
* Message:
* Verification Code:
refresh
I agree to share my inquiry to the other matching suppliers.