Home >Products> Reagents >Cell Biology> BaseScope™ Duplex Assay
Reagents:  Molecular Biology   Biochemistry   Cell Biology   ELISA / Diagnostic Kits   Antibody   Serum/Medium   Other Reagents  
BaseScope™ Duplex Assay
BaseScope™ Duplex Assay
Place of Origin:
United States
Brand:
Bio-Techne Corporation
Model:
Bio-Techne Corporation
Price:
Hits:
1396 
Updated:
10/16/2018
  • Product Detail
  • Company Profile
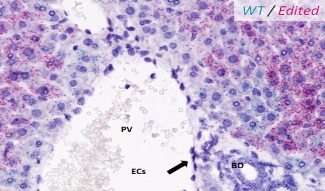
    Sample Images



    The BaseScope™ Duplex Assay is based on ACD’s patented signal amplification and background suppression technology.  The BaseScope™ assay leverages the same platform of the proven and established RNAscope® technology but expands the detection capabilities, enabling the detection of short RNA target sequences and exon junctions in cells and tissues with morphological context, thereby providing new data dimensions and unique insight into biological mechanisms.The BaseScope™ Duplex Assay can be used for simultaneous visualization of two RNA targets while maintaining single cell resolution.

    Applications of the BaseScope™ Duplex Assay include:

    Discerning bi-allelic vs. mono-allelic CRISPR-mediated mutations
    Co-detection of circRNAs and linear RNAs
    Simultaneous visualization of 2 splice variants or short targets
    Profiling expression of a splice variant, short target, or gene edit in a cell-specific manner
    One major application for the BaseScope™ Duplex Assay is to identify gene edits in specific cell populations by duplexing RNA ISH cell marker probes and edit-specific probes.  The BaseScope™ Duplex assay can discern if the CRISPR/Cas9-mediated mutation is mono- or bi-allelic with duplex of WT and edited probes.

    BaseScope™ Duplex Reagent Kit provides reliable results which are ideal for archiving due to the permanent staining visible under any standard bright field microscope. The BaseScope™ Duplex Reagent Kits are designed to provide more intense staining when low copy target gene expression is anticipated (1–20 copies per cell). The BaseScope™ Duplex reagent kits are compatible with BaseScope™ probes.

    Basescope Duplex Assay Intro Packs
    For customers using BaseScope™ Duplex Assay for the first time, ACD's Intro Packs include species-specific control slides, control probes, the reagent kit, the ImmEdge hydrophobic barrier pen and the must-have accessory VectaMount™ Mounting Medium from Vecta Labs.  Be sure to order your target C1 and C2 probes separately

    BaseScope Duplex Reagent Kit Intro Pack- Hs (cat. no 323870)
    BaseScope Duplex Reagent Kit Intro Pack- Mm (cat. no 323871)

    The BaseScope™ Duplex Manual Assay Workflow Requires:

    BaseScope™ Duplex Catalog or Made-to-Order C1 & C2 Probes
    BaseScope™ Duplex Positive Control Probes
    BaseScope™ Duplex Negative Control Probes
    RNAscope® Control Slides (optional)
    BaseScope Duplex Reagent Kit (Cat. no 323800) (Includes Pretreatment Kit for FFPE samples, detection kit and wash buffer)
    Vector Labs Vectamount Permanent Mounting Medium (Cat. No. 321584)>
    ImmEdge Hydrophobic Barrier Pen (Cat. No 310018)
    HybEZ™ II Hybridization System
    Brightfield microscope
    bio-equip.cn
    Bio-Techne Corporation (NASDAQ: TECH) is a leading developer and manufacturer of high quality purified proteins:notably cytokines and growth factors, antibodies, immunoassays, as well as biologically active small molecule compounds and ACD's in situ hybridization detection products,which are sold to biomedical researchers and clinical research laboratories; these operations constitute the core Biotechnology Division, headquartered in Minneapolis, Minnesota. The Protein Platforms Division manufactures innovative protein analysis tools under the ProteinSimple brand name that greatly automate western blotting and immunoassay practices. The Diagnostics Division manufactures FDA-regulated controls, calibrators, blood gas and clinical chemistry controls and other reagents for OEM customer and clinical customers. Bio-Techne products are integral components of scientific investigations into biological processes and the nature and progress of specific diseases. They aid in drug discovery efforts and provide the means for accurate clinical tests and diagnoses. With thousands of products in its portfolio, Bio-Techne generated approximately $563 million in net sales in fiscal 2017 and has approximately 1,800 employees worldwide. For more information on Bio-Techne and its brands, please visit www.bio-techne.com.
Request Information
Request Information: yes no
Request Quotation: yes no
refresh

I agree to share my inquiry with the other matching suppliers.

Request Information

* Name:
Job Title:
* Tel:
Fax:
* E-mail:
Postcode:
Institution/Company:
Address:
* Country:
Request Information:
yes no
Request Quotation:
yes no
* Message:
* Verification Code:
refresh
I agree to share my inquiry to the other matching suppliers.