A unique camera, the DP80 combines both a color and a monochrome sensor within the same housing, providing high resolution brightfield imaging together with sensitive photon detection for fluorescent dyes. With versatile functionality, the cellSens control software enables rapid and automatic exchange between the chips, without manually switching the microscope optical path. Furthermore, the DP80 has the capacity to overlay images from the two sensors with accurate pixel-to-pixel correspondence, presenting significant opportunities for efficient and accurate joint color and fluorescent imaging, in both research and clinical environments.
The DP80 is not for clinical diagnostic use.
Dual Sensor Digital Camera
High Resolution Color Imaging Up To 12.5 Megapixels

The DP80 uses pixel-shifting technology to reach a maximum recording image size of 4080 x 3072, a high resolution equivalent to 12.5 megapixels.
High-sensitivity for fluorescence, including IR dyes

Sensitive to a wide range of wavelengths - from visible to near infrared - the DP80 can now capture fluorescence signals with near-IR wavelengths from samples stained, for example, with Cy7 (767 nm).
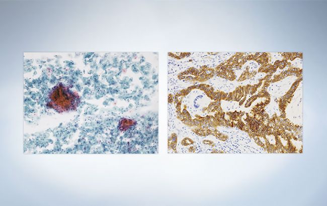
Overlay Color and Monochrome images at Pixel Precision

By using the pre-calibrated centering function color and monochrome images of the same sample field can be easily superimposed. This function is particularly useful for defining morphology and localization between brightfield and fluorescence dyes.
Active cooling of both sensors, for reduced noise
We significantly improved the DP80's fluorescence imaging performance by incorporating a separate high dynamic range monochrome CCD sensor within the body of the camera. Combined with thermo-electric cooling and high resolution capture, the DP80 meets the demands for low-light fluorescence imaging. With a high quantum efficiency along a wide spectrum, the DP80 provides exceptional fluorescence signal detection.


Fast and Fluid Live Image even with faint signals

Live view display of high definition RGB 24-bit color images of 1360 x 1024 pixels at 15 frames per second. Distortion-free focusing or framing is provided because there is no deterioration of image quality due to compression and so sample details are sharp and clear whether the sample is stationary or moving.
Fine Detail Processing for Super Clear Resolution

The DP80 is equipped with Fine Detail Processing, which reduces pseudo-colors and moiré patterns, effectively improving the resolving power. Clear imaging of all fine details is achieved by making full use of the resolving power of the objective lenses.
Olympus real-time color profiles for Superior Color Reproducibility

Subtle differences in hue among colors such as brown, blue, and purple have been difficult to distinguish in the past. The DP80 incorporates AdobeRGB* color space - which reproduces a wide range of color tones - and a new algorithm of color reproduction, so slight differences in color can be reproduced faithfully.
*Color reproduction fidelity depends on monitor specifications. Monitors supporting AdobeRGB are required to accurately reproduce images recorded in AdobeRGB mode.
Olympus cellSens* Software for Improved Workflow
Efficient Observation and Experimentation

High-quality color and multi-channel imaging is automated with the DP80's switchable CCD sensors and the intuitive Olympus *cellSens software interface. From complex image acquisition and image processing to report generation, the researcher can focus on research activities instead of routine labor-intensive acquisition set-up and data preparation.
*cellSens software is not for clinical diagnostic use.
Faithful Panoramic Image Stitching

Multiple-region image capture can be easily combined and stitched into a single, seamless image. Numerous annotations and comments can be saved with images for later retrieval. These features are useful for standardization and QC of inspection and research processes.
bio-equip.cn