|
The Diagnostic Value of Desmin Antibodies in Tumor Pathology
hits:348 Date:03/30/26
1. Literature Information
Research Focus: Exploration of Desmin’s biological functions in muscle tissue, technical key points of immunohistochemical detection, core diagnostic value in tumor diagnosis, quality assurance systems, clinical decision-making guidance, and technological challenges/opportunities.
Core Innovation: Validation of Desmin antibodies as pivotal tools for diagnosing muscle-derived tumors (rhabdomyosarcoma, leiomyosarcoma) and differentiating soft tissue tumors—supported by standardized detection protocols and quality control systems, with implications for treatment selection and prognosis assessment.
2. Research Background
Desmin, a 53kDa intermediate filament protein, is predominantly expressed in striated, cardiac, and smooth muscle cells. It maintains muscle cell structural integrity, regulates mitochondrial function, and participates in muscle differentiation/regeneration. In tumor pathology, Desmin serves as a key marker for determining tissue origin—critical for diagnosing soft tissue tumors. Its expression pattern correlates with tumor differentiation and biological behavior, addressing unmet needs in differentiating spindle cell tumors (e.g., rhabdomyosarcoma vs. fibrosarcoma). Desmin antibodies enable precise immunohistochemical detection, becoming indispensable in clinical pathological diagnosis.
3. Research Approaches
To establish Desmin antibodies as a core diagnostic tool, the research team adopted a technology-to-clinical strategy:
Biological Function Characterization: Investigating Desmin’s structural and regulatory roles in muscle cells (structural support, energy metabolism, signal transduction).
Detection Protocol Optimization: Standardizing tissue preparation, antigen retrieval, antibody incubation, and chromogenic development to ensure detection accuracy.
Diagnostic Efficacy Evaluation: Assessing Desmin antibodies’ value in diagnosing muscle-derived tumors and differentiating soft tissue sarcomas.
Quality Control Establishment: Developing positive/negative control systems and semi-quantitative interpretation criteria.
Clinical Application Validation: Correlating Desmin expression with treatment response and prognosis to guide clinical decision-making.
4. Research Outcomes
4.1 Biological Functions of Desmin in Muscle Tissue
Structural Support: Forms a three-dimensional network connecting myofibrils, nuclei, and organelles, ensuring mechanical stability and force transmission during muscle contraction.
Regulatory Roles: Influences mitochondrial distribution and energy metabolism; interacts with signal molecules to regulate muscle differentiation and regeneration.
Marker Significance: Serves as a specific molecular marker for muscle tissue status and function.

4.2 Technical Key Points of Desmin Immunohistochemical Detection
Tissue Preparation: Systematic dewaxing and rehydration of paraffin-embedded samples to preserve antigenicity.
Antigen Retrieval: Heat-induced epitope retrieval with citrate buffer to reverse formaldehyde-induced protein cross-linking.
Antibody Incubation: Overnight incubation at 4°C with optimized primary antibody concentration for sufficient antigen-antibody binding.
Chromogenic Development: Precise control of DAB substrate reaction time with microscopic monitoring to avoid background staining.
Counterstaining: Hematoxylin counterstaining provides morphological context for result interpretation.
4.3 Core Diagnostic Value in Tumor Pathology
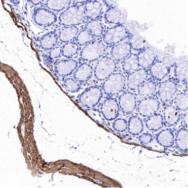
Soft Tissue Tumor Diagnosis: Desmin positivity is decisive for identifying muscle-derived tumors—rhabdomyosarcoma shows diffuse strong cytoplasmic staining; leiomyosarcoma exhibits characteristic positive patterns.
Differentiation Assessment: Staining intensity and distribution correlate with tumor differentiation—well-differentiated tumors show intense, uniform staining; poorly differentiated tumors exhibit weak, focal expression.
Differential Diagnosis: Distinguishes muscle-derived sarcomas from non-muscle soft tissue sarcomas (e.g., liposarcoma, fibrosarcoma) that lack Desmin expression.

4.4 Standardized Quality Assurance System for Desmin Detection
Controls: Positive controls (normal muscle tissue or confirmed muscle-derived tumors); negative controls (non-muscle tissue or primary antibody-omitted blanks) to monitor assay performance.
Interpretation Criteria: Semi-quantitative scoring based on staining intensity and positive cell proportion.
Error Avoidance: Mitigating false positives (non-specific staining) and false negatives (insufficient antigen retrieval, improper fixation).
4.5 Clinical Decision-Making Guidance
Treatment Selection: Desmin expression may predict sensitivity to specific chemotherapy regimens in muscle-derived sarcomas, supporting personalized therapy.
Surgical Margin Assessment: Identifies microscopic tumor infiltration to guide surgical extent.
Prognosis Evaluation: Strong Desmin expression in muscle tumors correlates with better prognosis (reflecting higher differentiation), though combined with histological grade, tumor size, and location for comprehensive assessment.
4.6 Challenges and Development Opportunities
Current Challenges: Tumor heterogeneity (spatial variability in poorly differentiated tumors) and occasional aberrant Desmin expression in non-muscle tumors.
Future Directions: Standardization of detection protocols, automation of staining systems, and combined detection with other markers (myogenin, actin) to improve diagnostic accuracy.
5. Product Empowerment by ANT BIO PTE. LTD.
ANT BIO PTE. LTD.’s STARTER brand, a leader in recombinant antibodies, provides a high-performance tool for tumor pathology: the "S-RMab® Desmin Recombinant Rabbit Monoclonal Antibody" (Catalog No.: S0B2321).
Key Roles of the Product:
Diagnostic Precision: Exhibits high specificity for Desmin, with clear cytoplasmic staining in FFPE samples—enabling accurate identification of muscle-derived tumors and differential diagnosis of soft tissue sarcomas.
Research Versatility: Supports studies on muscle cell differentiation, muscle fiber damage assessment, and gastrointestinal stromal tumor (GIST) differential diagnosis (Desmin-negative in GIST vs. positive in leiomyoma/sarcoma).
Core Advantages: Exceptional staining stability, minimal batch variation, and clean background—ensuring reliable results for clinical diagnosis and basic research.
Technical Support: Comprehensive IHC protocols, antigen retrieval solutions, and interpretation guidance facilitate standardized detection.
ANT BIO PTE. LTD.’s portfolio of Desmin antibodies (S0B2062, S0B2056) further caters to diverse research and clinical needs.
6. Brand Mission
ANT BIO PTE. LTD. is dedicated to empowering global life science advancement through three specialized sub-brands: ABSIN (general reagents, ELISA kits), STARTER (antibodies), and UA (recombinant proteins). Leveraging advanced development platforms—including recombinant rabbit/mouse monoclonal antibody generation, recombinant protein expression (E.coli, CHO, HEK293, Insect Cells), and One-Step ELISA—we deliver high-quality, compliant products certified by EU 98/79/EC, ISO9001, and ISO13485. Our mission is to partner with pathological laboratories, pharmaceutical companies, and research institutions worldwide, providing innovative reagents and solutions that accelerate discoveries in tumor diagnosis, soft tissue pathology, and precision medicine.
7. Related Product List
| S0B2062 |
Desmin Recombinant Rabbit mAb
(SDT-R022) |
Host : Rabbit |
| S0B2062P |
Desmin Recombinant Rabbit mAb,PBS Only
(SDT-R022) |
Host : Rabbit |
| S0B2056 |
Desmin Recombinant Rabbit mAb
(SDT-109-67) |
Host : Rabbit |
| S0B2321P |
S-RMab® Desmin Recombinant Rabbit mAb, PBS Only (SDT-109-114) |
Host : Rabbit
Conjugation: Unconjugated |
| S0B2321 |
S-RMab® Desmin Recombinant Rabbit mAb
(SDT-109-114) |
Host : Rabbit
Conjugation: Unconjugated |
8. AI Disclaimer
This article is AI-compiled and interpreted based on the original work. All intellectual property (e.g., images, data) of the original publication shall belong to the journal and the research team. For any infringement, please contact us promptly and we will take immediate action.
ANT BIO PTE. LTD. – Empowering Scientific Breakthroughs
At ANTBIO, we are committed to advancing life science research through high-quality, reliable reagents and comprehensive solutions. Our specialized sub-brands (Absin, Starter, UA) cover a full spectrum of research needs, from general reagents and kits to antibodies and recombinant proteins. With a focus on innovation, quality, and customer-centricity, we strive to be your trusted partner in unlocking scientific mysteries and driving medical progress. Explore our product portfolio today and elevate your research to new heights.
|