HAYWARD, CALIFORNIA, October 7, 2014: Advanced Cell Diagnostics, Inc. (ACD), a global technology and market leader in in situ nucleic acid detection for life science research and clinical diagnostics, has been awarded a two-year, $1.4 million grant from National Cancer Institute (NCI) under its SBIR Phase II Program. ACD and its academic partner Cleveland Clinic will use the grant to develop and validate a diagnostic test based on ACD’s proprietary RNAscope® technology for discriminating various B-cell non-Hodgkin lymphomas (NHLs) from benign lymphoproliferative diseases.
“This award is a further validation of the clinical utility of RNAscope technology. We are very pleased that NCI has recognized the diagnostic potential of RNAscope technology and are grateful for its continued support”, commented by Dr Yuling Luo, President and CEO of ACD.

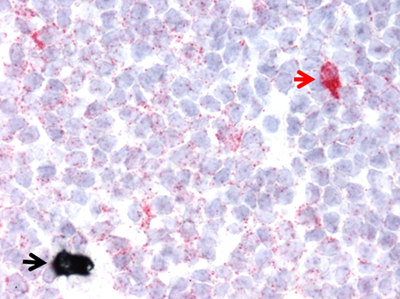
RNAscope Ig Kappa (black) and Lambda (red) mRNA in Lambda-Restricted B-cell lymphoma
Detection of B-cell clonality by demonstrating the restricted expression of one of the two immunoglobulin light chains (kappa or lambda) provides valuable molecular information for the diagnosis of NHLs. Formalin-fixed paraffin-embedded (FFPE) tissue is often the only sample type available for diagnostic testing in many clinical settings, however there has been a long-standing technical challenge in detecting light chain mRNAs in these tissues.
“In Phase I, we developed a manual RNAscope-based assay for light chain mRNAs and demonstrated that it allowed determination of light chain restriction in virtually all types of NHL using FFPE with 99% concordance with the current gold standard assay flow cytometry using fresh tissue”, said Xiao-Jun Ma, Ph.D., ACD’s Chief Scientific Officer, and Principal Investigator.
“This is an important advance in our ability to accurately diagnose B-cell lymphomas because conventional IHC (immunohistochemistry) and CISH (chromogenic in situ hybridization) methods to establish clonality simply don’t work for the majority of NHLs for various reasons”, said James Cook, M.D/Ph.D., hematopathologist and co-investigator at Cleveland Clinic.
The Phase II grant will develop a fully automated assay and advanced image analysis algorithms for objective interpretation to facilitate clinical adoption.
About Light Chain Restriction Detection
Clonal expansion of B-lymphocytes harboring immunoglobulin (Ig) gene rearrangements is a hallmark of B-cell malignancy, and it is commonly manifested as restricted expression of one of the two Ig light chain mRNAs and proteins (kappa and lambda).Clinical laboratory detection of Ig light chain restriction (LCR) is a helpful ancillary tool in the differential diagnosis that includes lymphoid hyperplasia, atypical lymphoid hyperplasia, chronic inflammation, and B-cell neoplasia.
LCR can be readily detected as an abnormal kappa/lambda surface immunoglobulin ratio by flow cytometry (FCM) using fresh tissue, the current gold standard for LCR detection. However, when only formalin-fixed, paraffin embedded (FFPE) tissue is available for evaluation, as is often the case in many clinical settings, immunohistochemistry (IHC) and conventional chromogenic in situ hybridization (CISH) are feasible only for B-cell neoplasms such as plasma cell myeloma that express abundant kappa or lambda mRNA and protein, leaving the majority of B-cell lymphomas without a sensitive method of LCR detection. RNAscope’s single-molecule sensitivity and single-cell resolution allow direct visualization kappa and lambda mRNAin FFPE tissue section under a standard bright-field microscope, thus addressing an unmet diagnostic need in B-cell lymphoma that has existed for over two decades.
About Advanced Cell Diagnostics
Advanced Cell Diagnostics, Inc. (ACD) is a leader in the emerging field of molecular pathology, developing cell and tissue‐based diagnostic tests for personalized medicine. The company’s products and services are based on its proprietary RNAscope® technology, the first automated multiplex chromogenic and fluorescent in situ hybridization platform capable of detecting and quantifying RNA biomarkers in situ at single‐molecule sensitivity. RNAscope assays are currently used by hundreds of customers, including all of the global top 10 pharmaceutical companies, world leading academic institutions and many cutting edge biotechnology companies to validate biomarkers for the management of cancer and other diseases. ACD’s industrial partnerships provide the foundation for ACD to develop companion diagnostic tests in conjunction with partners’ targeted therapeutics. ACD also pursues internal programs to develop and commercialize proprietary diagnostic tests in cancer management. Learn more about ACD and RNAscope technology at
www.acdbio.com.